EN

新冠研究必备干货 | SARS-CoV-2 编码蛋白一网打尽

近日,北京的新发地出现多个新冠肺炎本土确诊病例,让逐渐平静的国内疫情形势再度紧张起来。

迄今为止尚未找到对抗 SARS-CoV-2 的特效办法,药物及疫苗的研发正在紧张的开展中,全面解析 SARS-CoV-2,解开蛋白密码,是研发的重要前提。本文,我们大起底 SARS-CoV-2 编码蛋白与 SARS-CoV 蛋白的同源性、分类及功能。

 

非结构蛋白与结构蛋白

SARS-CoV-2 是一种约 30kb 的阳性单链 RNA 病毒,其基因组组成与 SARS-CoV 相似,两者都是由两个主要的开放阅读框(ORF)和几个较小的下游 ORF 组成。

两个主要的 ORF(ORF1a 和 ORF1b)编码两个多肽,被病毒编码的蛋白酶切割后产生非结构蛋白(nsps)。ORF1a 编码 440-500 kDa 多肽(pp1a),该多肽经过酶处理裂解成 11 个  nsps。ORF1b 编码 740-810 kDa 的较大多肽(pp1ab),该多肽被切割为 16 个 nsps。

在 SARS-CoV-2 中已鉴定出四种主要的结构蛋白,包括刺突蛋白、核衣壳蛋白、膜蛋白和包膜蛋白,与 SARS-CoV 具有显著的同源性。这四个结构蛋白由 ORF2-10 编码,是病毒形成外壳和基因组衣壳化所必需的。与非结构蛋白相比,结构蛋白能引发更高水平的体液免疫和细胞免疫反应。

 

结构蛋白之刺突蛋白

SARS-CoV-2 的刺突蛋白是病毒表面的糖蛋白,由两个主要功能结构域 S1(14-667 aa)和 S2(668-1255 aa)组成,分别介导与宿主细胞受体结合和膜融合。病毒的附着和进入宿主细胞取决于刺突蛋白的受体结合域(RBD:306-527aa)与特定细胞蛋白的相互作用。

研究表明,血管紧张素转化酶 2(ACE-2)和蛋白酶 TMPRSS2 分别是 SARS-CoV-2 进入宿主细胞所需的细胞受体和蛋白酶。靶向 ACE-2 的抗体(中和抗体 AF933,21 Citations),有望成为治疗新冠肺炎的有效方法之一。

蛋白酶 TMPRSS2 和/或 cathepsin L 在 S1-S2 连接处切割刺突蛋白,从而使病毒包膜与细胞膜融合,促使病毒 RNA 进入细胞。SARS-CoV-2 也可以被 furin 蛋白酶切割,其识别 S1-S2 连接处的四个氨基酸序列。除了在 S1-S2 连接处切割刺突蛋白外,细胞蛋白酶还可以剪切 S2 亚基,这对于刺突蛋白的激活和随后的膜融合至关重要。

✦ SARS-CoV-2 与 SARS-CoV 的刺突蛋白序列比较如何?

SARS-CoV-2 的表面糖蛋白或刺突蛋白与 SARS-CoV 的刺突蛋白具有 76% 的序列同源性。Novus Biologicals® 提供了几种用于检测 SARS-CoV 刺突蛋白的抗体,这些抗体可用于 WB、ICC / IF、ELISA 等多种应用。根据Novus 的创新计划,不妨试验其中的抗体用于检测 SARS-CoV-2。

 

用于检测 SARS-CoV 的刺突蛋白抗体:

 

结构蛋白之核衣壳蛋白

核衣壳蛋白(419 aa)位于 SARS-CoV-2 病毒颗粒的核心,并与病毒 RNA 相互作用。在病毒组装过程中,核衣壳蛋白在包装病毒 RNA 基因组中发挥着核心作用。SARS-CoV 核衣壳蛋白还参与其他功能,例如调节宿主的细胞过程,包括细胞周期失调、抑制 IFN 产生和诱导促炎因子(例如 COX-2)产生等。

✦ SARS-CoV-2 与 SARS-CoV 之间的核衣壳蛋白序列比较如何?

SARS-CoV-2 与 SARS-CoV 的核衣壳蛋白具有 91% 的序列同源性。Novus Biologicals® 提供了几种用于检测 SARS-CoV 核衣壳蛋白的抗体,这些抗体可用于 WB、ICC / IF、ELISA 等多种应用。

 

用于检测 SARS-CoV 核衣壳蛋白的抗体:

 

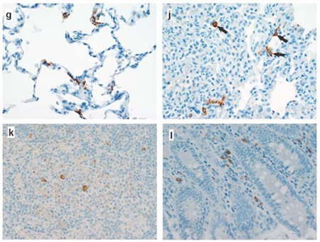
最近美国国立卫生研究院的一项研究成功建立了 SARS-CoV-2 感染的恒河猴动物模型,并利用兔多克隆抗 SARS-CoV 核衣壳抗体(货号 NB100-56576)成功检测了 SARS-CoV-2 病毒在感染组织中的存在。

感染 SARS-CoV-2 的恒河猴的病理变化。通过免疫组化检测以下细胞/组织中的 SARS-CoV-2 核衣壳抗原:(g)Ⅰ 型肺泡细胞;(j)Ⅰ 型肺泡细胞,Ⅱ 型肺泡细胞及肺泡巨噬细胞;(k)纵隔淋巴结和(l)盲肠固有层中的巨噬细胞和淋巴细胞。图片由 bioRxiv March 21, 2020// doi. org/ 10. 1101/ 2020. 03. 21. 001628  一文 Figure 4 修改。

 

最新 SARS-CoV-2 重组刺突蛋白及核衣壳蛋白:

 

结构蛋白之膜蛋白和包膜蛋白

膜蛋白(222 aa)和包膜蛋白(75 aa)是在病毒包装中发挥作用的整合蛋白。众所周知,SARS-CoV 的膜蛋白能使 SARS 患者产生中和抗体,而包膜蛋白介导 SARS-CoV 的毒力,并扮演离子通道的角色。

✦ SARS-CoV-2 与 SARS-CoV 的膜蛋白和包膜蛋白序列比较如何?

SARS-CoV-2 与 SARS-CoV 的膜蛋白具有 91% 的序列同源性,包膜蛋白具有 95% 的序列同源性。Novus Biologicals® 提供了几种用于检测 SARS-CoV 内膜蛋白和包膜蛋白的抗体,这些抗体可用于 WB、ICC / IF、ELISA 等多种应用。

用于检测 SARS-CoV 的内膜蛋白和包膜蛋白抗体:

 

非结构蛋白大揭秘

非结构蛋白(nsps)在病毒复制周期中发挥不同的功能,编码的 nsps(1-16)共同形成蛋白复制酶-转录酶复合物。

 

✦ SARS-CoV nsp5 和 nsp13 蛋白的抗体

SARS-CoV-2 与 SARS-CoV 的 nsp5 具有 96% 序列同源性,nsp13 具有 99% 的序列同一性。Novus Biologicals® 提供了针对 nsp5(NBP1-78110)和 nsp13(nbp2-89168)蛋白的兔多克隆抗体,这些抗体可用于 WB、ICC / IF、ELISA 等多种应用。

感染 6 小时后的 Vero-E6 细胞中,使用抗 SARS-CoV nsp13 兔多克隆抗体(NBP2-89168)进行免疫荧光显微镜检查。

 

 

附件: